3. ¿En qué casos se debe realizar una craneotomía?

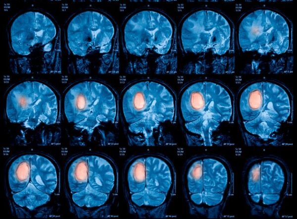
La Dra. Neurocirujana Gabriela Moguilner, explicó a la 1080 AM que este tipo de cirugías se realiza cuando aparecen gliomas (tumores primarios del sistema nervioso central que se ubican en el cerebro). Cuando los mismos afectan a las funciones como el habla o el movimiento, es cuando se precisa una intervención con el paciente despierto.
4 /11 « Anterior Siguiente »


