Cada 24 de marzo se recuerda el Día Mundial de la Tuberculosis, una fecha que busca visibilizar una enfermedad que aún representa un desafío sanitario. A pesar de los avances médicos, sigue afectando a millones de personas en todo el mundo.
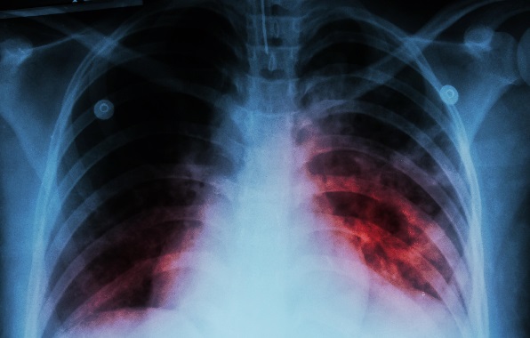
La tuberculosis es una enfermedad infecciosa causada por la bacteria Mycobacterium tuberculosis. Su principal impacto se da en los pulmones. Sin embargo, también puede comprometer órganos como los riñones, la columna vertebral y el cerebro.
La transmisión ocurre a través del aire. Se produce cuando una persona infectada tose, estornuda o habla. En ese proceso, libera bacterias que pueden ser inhaladas por otras personas.
¿Cuáles son los síntomas de la tuberculosis?
Los síntomas pueden variar según la zona afectada. No obstante, existen signos frecuentes que permiten sospechar la enfermedad. Entre ellos, se encuentra la tos persistente, en ocasiones con presencia de sangre.
Además, se registran fiebre, escalofríos y sudores nocturnos. También pueden aparecer pérdida de peso sin causa aparente, fatiga y debilidad. La detección temprana resulta clave para iniciar el tratamiento.
Estos síntomas suelen aparecer de forma progresiva. Por lo tanto, muchas personas no consultan a tiempo. Esto facilita la propagación de la enfermedad en la comunidad.
¿Por qué sigue siendo una amenaza global?
La tuberculosis continúa siendo un problema de salud pública por diversos factores. Uno de ellos es la resistencia a los medicamentos. Existen cepas que no responden a los tratamientos habituales.
Además, persisten desigualdades en el acceso a servicios de salud. En varias regiones, el diagnóstico y el tratamiento no están disponibles de forma oportuna. Esto dificulta el control de la enfermedad.
También influyen las condiciones de vulnerabilidad. Las personas con sistemas inmunitarios debilitados, como quienes viven con VIH, presentan mayor riesgo. A esto se suma la alta movilidad y la concentración urbana.
En cuanto a la prevención, se destacan varias estrategias. La vacunación con BCG se utiliza en contextos de alta prevalencia. Asimismo, el control y aislamiento de casos son fundamentales.
Por otra parte, la detección temprana de infecciones latentes permite evitar el desarrollo de la enfermedad activa. Completar el tratamiento antibiótico también es esencial para prevenir resistencias.
Fuente: ABC Color







